津药达仁堂(SH600329)

津药达仁堂(SH600329)

35.17 +0.35 +1.01%

网上商城

清咽滴丸拓展临床新应用——治疗“气管插管术后咽痛”
津药达仁堂
2024 / 05 / 27
天津




2024年5月25日,南山呼吸健康论坛“气管切开患者的康复管理”相关专家指出,清咽滴丸可有效缓解气管插管所造成的咽喉疼痛。
相关证据表明,对于气管插管术后咽痛的治疗,清咽滴丸相对西药雾化组具备缓解症状更快、总有效率更高的优势[1]。

气管插管可以建立确切的人工气道,实现机械通气,被广泛应用于PCCM科(呼吸与危重症医学科)、急诊科、各类ICU、麻醉科、多种病房及院外的急救现场。

随着人口老龄化、呼吸系统疾病频发及外科手术的增多,气管插管术的应用也更加频繁。

气管插管术后咽喉痛是常见并发症,发生率高达60%-70%。该症状是由于术中咽喉及气道黏膜损伤所致,多种原因均可造成黏膜损伤:

喉镜置入过程:对咽喉黏膜机械性损伤


插管过程:气管导管与声门及咽后壁的

接触性损伤


气管导管套囊压力过大:造成气道黏膜

缺血坏死



在临床上对于术后咽喉痛的治疗原则往往镇痛、抗炎及促创面愈合为主,故以静脉滴入利多卡因或雾化吸入地塞米松以镇痛、抗炎的治疗方式常见,但对于促创面愈合上尚无固定治疗方案-1。
中成药在治疗方案中的引入不仅可以帮助气管插管术后咽痛患者更快缓解症状且降低了药物不良反应发生率[1]。比如清咽滴丸在相关研究中表明,其对于治疗咽痛症状最快缓解时间可达16.2s[4],尤其在颈椎前路术后咽痛的治疗中,其症状缓解速度及总有效率均显著优于西药雾化组[1]。


同时清咽滴丸可通过炎症因子及免疫调节,达到抗炎及促进创面组织愈合的作用-1,对气管插管后黏膜损伤的修复具备一定功效。

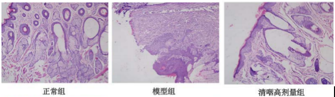
清咽滴丸对溃疡组织病理变化的影响[6]


(清咽滴丸组愈合后鳞状上皮完整、增厚,黏膜更接近疏松结缔组织)


参考文献:

[1] 梁家柱,柳根哲,雷仲民等.清咽滴丸治疗颈椎前路术后咽痛的临床观察[J].世界中医药,2016,11(09):1761-1765.

[2] 张晓敏杨宁彭雅雯黄英徐卉. 成年人全身麻醉气管插管术后咽喉痛防治的研究进展[J]. 国际麻醉学与复苏杂志, 2018, 039(009):900-904.

[3] Comparative efficacy of 6 topical pharmacologicalagents for preventive interventions of postoperativesore throat after tracheal intubation: a systematicreview and network meta-analysis. Anesth Analg 2021;133(1):58-67.

[4] 段淑红,鲍中英,刘梅生.清咽滴丸临床应用分析[J].中国误诊学杂志,2009,9(21):5125-5126.

[5] 刘剑,刘丽华,孟庆军,李晓眠,苏文琴,李晶哲.清咽滴丸抗常见呼吸道病毒的实验研究[J].中国药学杂志,2010,45(07):519-523.

[6] 陈卓,王金磊,庄朋伟等.清咽滴丸治疗大鼠口腔溃疡的实验研究[J].中草药,2016,47(01):106-109.




稿件来源:津药达仁堂销售


往期回顾


【嘉宾阵容】重磅发布!第十一届中药材基地共建共享交流大会
斩获双奖 | 津药达仁堂集团出席漱玉平民二十二周年庆典,共启大健康产业新纪元
聚焦海外重点市场 | 第21届CPHI Japan期间津药达仁堂代表团在日本参观访问
抢先看!第十一届中药材基地共建共享交流大会【大会议程|参会信息】重磅发布
开启海外市场新篇章|津药达仁堂新加坡发展有限公司新办公地点正式落成